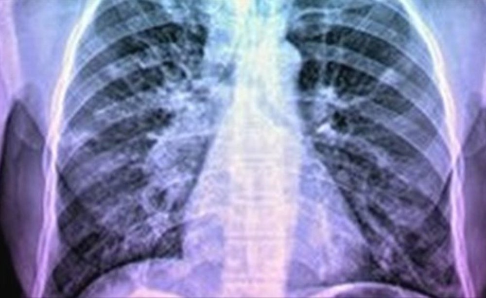
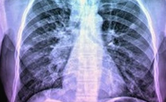
В канун Всемирного Дня борьбы с туберкулезом об опасном заболевании напомнила Валентина Александровна Бородина, врач-фтизиатр окружной больницы. Каждые четыре секунды в мире кто-нибудь заболевает туберкулезом. Каждый год один процент населения поражается этой болезнью.
Самый большой риск заболеть имеют люди с ослабленными защитными силами организма.
Туберкулез начинается с признаков общего заболевания. Чаще всего у больного отмечается слабость, потливость, он легко устает и становится раздражительным, ухудшаются сон и аппетит. Отмечается небольшое повышение температуры. У ряда больных появляется кашель, так как болезнь развивается в легких.
Туберкулез излечим, но только при прохождении полного курса лечения, который длится не менее шести месяцев, при тяжелой форме - до девяти месяцев. Если у вас появились симптомы, указанные выше, обращайтесь к врачу.
Каждый человек может защитить себя от туберкулеза: если он ответственно относится к своему здоровью; если ведет здоровый образ жизни; если отказывается от употребления алкоголя, табака, наркотиков.
И еще: каждый раз в год должен проходить флюорографическое обследование в поликлинике без всякого направления.
